WEST ASHLEY  |  SUMMERVILLE  |  GOOSE CREEK | PORT ROYAL | HILTON HEAD ISLAND

WEST ASHLEY  |  SUMMERVILLE  |  GOOSE CREEK

 |  PORT ROYAL |  HILTON HEAD ISLAND

APPLIANCES

UPPER ANTERIOR BITE PLANE

An upper anterior bite plane is used to open up deep bites so that lower braces may be placed without the patient biting them off of the lower anterior teeth. It is very similar to a retainer and has clasps that fit under the braces. Most patients find that it is very comfortable and it is considerably more tolerable than other types of bite opening appliances.

 

Typically this appliance is made once the upper teeth have attained their initial alignment which usually takes 4-8 months. Once in an anterior bite plane expect to wear it for another 4-8 months. During this time we will use bite opening wires to correct your deep bite and when you have clearance we will discontinue its use.

HERBST APPLIANCE

An Herbst Appliance is a bite correcting appliance which works by positioning the lower jaw forward. It achieves its correction by translating any lower jaw growth into a forward direction, moving the upper teeth forward. This and similar functional appliances have largely replaced the use of headgear.

 

This appliance is glued onto the first molars and has "arms" on the sides toward the cheeks which force the patient to posture their jaw forward in order to close their mouth. It is typically in place for 9 months to 1 year. Although the majority of patients achieve full bite correction with this appliance, a few achieve only partial correction. This happens in patients whi have finished growing and have their second molars in. Alternatives to wearing this appliance may include headgear, extractions, or surgery. After the first 2 to 3 week adjustment period it is well tolerated.

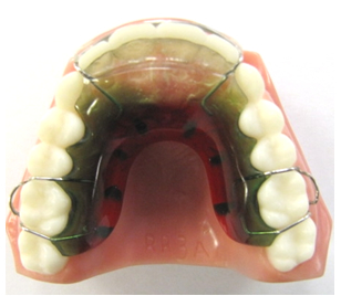
THUMB CRIB

Thumb sucking is a normal response to stress for infants and toddlers. This behavior should decrease by ages 3-4 and stop by age 5. Continued sucking of thumb or fingers can cause serious dental problems with speech, chewing, and facial appearance. Once permanent teeth begin erupting thumb sucking may cause the upper teeth to flare out and tip forward which the lower front teeth move inward. It can even reshape the upper jaw-bone.

 

If other methods of breaking the habit are unsuccessfull a thumb crib may be placed. Often this appliance stops thumb sucking the day it is cemented in place. It is composed of several wires set behind the front teeth to block the thumb or fingers from hitting the area of the roof of the mouth where they find it comfortable. It is typically in place between 9 and 12 months.

TANDEM APPLIANCE

A Tandem Appliance is used to correct an underbite otherwise known as a Class III occlusion. It can help prevent the need for future jaw surgery although it cannot rule it out entirely. It is best to start using this appliance between 7 and 10 years of age for maximum improvement.

 

It consists of a cemented upper appliance with a built in expander and removable lower bite plane that has a wire bow which is worn at home and while sleeping. Rubber bands are worn approximately 12 to 16 hours a day from the lower bow to the upper hooks. The lower bite plane although it is removeable is worn 24 hours a day and is taken out briefly for cleaning 2 or 3 times a day. Typically, the appliance is worn up to 24 months. Although it looks large it is well tolerated and speech returns to normal after the first two weeks.

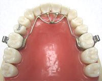
SAGITTAL APPLIANCE

A Sagittal Appliance is a removable expander which is typically used to move teeth either forward or backward and creates room for crowded teeth. These expanders are generally used in children 12 years or younger since it does not work as well once growth is complete.

 

This expander may be in use anywhere from 6 to 18 months depending on severity. Although it is removed daily for cleaning and as recommended for turning, it should be worn as close to 24 hours a day as possible including eating and sleeping. There is a 3 or 4 day adjustment period but it is comfortable and well tolerated. It is available in a variety of colors and glitters to make wearing it fun.

NIGHT GUARD

A night guard, also known as an occlusal splint, is made out of clear acrylic. It is designed to keep your teeth from coming in contact with each other while you sleep. Patients who grind their teeth at night or who have TMD (temporomandibular joint disorder) benefit from using a night guard. It helps protect the teeth from experiencing excessive wear and opens the joint spaces in the jaw to relieve pressure on the TMJ discs as well as relax your jaw muscles.

 

It is easy to care for your night guard. Make sure that the nigh guard is clean and moistened with cool water prior to placing it in your mouth. Always brush and floss prior to placing it in your mouth. Always brush and floss prior to using your night guard to prevent decay and clean it with your toothbrush using soap and water once your remove it. Avoid airtight, dark containers if your appliance is wet when you store it or you may promote mold growth and remember to keep your storage case away from pets that may chew on it. You may also soak your night guard in Polident for 10 minutes to keep it fresh. You may notice that your bite "feels off" for a few minutes in the morning after removing it. This is typical and your bite will return to normal after tapping your teeth together a few times.

FORSUS APPLIANCE

A Forsus Appliance is a bite correcting appliance which works by using 2 springs to push the lower teeth forward and the upper teeth back. It is typically used to achieve bite correction in adults, as well as, adolescents who have not properly worn their elastics.

 

This appliance is hooked onto the first molar bands and wraps around the lower wire just behind the lower canines. It is in place for 4 to 8 months. Although the majority of patients achieve full bite correction. This happens in patients who break the appliance or in severe cases that need surgical intervention to fully correct their bite. Alternatives to wearing this appliance may include headgear, extractions, or surgery. After the first week it is well tolerated.

GUIDANCE APPLIANCE

A Guidance Appliance is used for patients who have a retrusive lower jaw. It is an orthopedic appliance that redirects the growth of the lower jaw in a forward position versus allowing it to grow down and back. It will only work while a patient is growing and therefore is used prior to age 12 in girls and 14 in boys.

 

It is a removable appliance that must be worn 24 hours a day in order to be effective. Typically a patient will wear this appliance between 12 and 18 months. Growth of the lower jaw usually coincides with growth in height, therefore a patient that grows several inches taller while wearing the appliance may chieve full correction while a patient who does not grow in height may have very little correction. Most patients find that it is comfortable and it takes about 1 week to get use to wearing it.

LOWER POSTERIOR BITE PLANE

A lower posterior bite plane is used for patients who have an anterior cross bite. It opens the bite so that the tooth that is in crossbite can become unlocked and "jump" out of the crossbite. This appliance is very similar to a lower retainer with the addition of acrylic over the top chewing surfaces of the teeth.

 

This appliance is worn 24 hours a day and is typically used between 2 to 6 months depending on how quickly correction occurs. It takes a few days to acclimate to eating with it, but it is comfortable and well tolerated. This appliance may be discontinued as soon as correction occurs.

MARA APPLIANCE

A Mara Appliance is a bite correcting appliance which works by positioning the lower jaw forward. It achieves its correction by translating any lower jaw growth into a forward direction, moving the upper teeth back, and moving the lower teeth forward. This and similar functional appliances have largely replaced the use of headgear.

 

This appliance is glued onto the first molars and has "arms" on the sides toward the cheeks which force the patient to posture their jaw forward in order to close their mouth. It is typically in place for 1 year. Althought the majority of patients achieve full bite correction with this appliance, a few achieve only partial correction. This happens in patients who either need surgery or who have finished growing and have their second molars in. Alternatives to wearing this appliance may include headgear, extractions, or surgery. After the first 2 to 3 week adjustment period it is well tolerated.

RPE

An RPE (rapid palatal expander) is used to widen the upper jaw. It corrects crossbites and creates room for crowded teeth. These expanders are generally used in children 12 years or younger since it separates the upper jaw along the maxillary suture which closes once growth is complete.

 

An expander may be in place anywhere from 6 to 18 months depending on severity. It is cemented in place and takes about 3-4 days for patients to get use to it.

SCHWARTZ APPLIANCE

A Schwartz Appliance is a removable expander that is used to widen the jaw. It corrects crossbites and creates room for crowded teeth. These expanders are generally used in children 12 years and younger since it separates the upper jaw along the maxillary suture which closes once growth is complete.

 

This appliance is worn 24 hours a day and is typically used between 8 and 14 months depending on the severity of the crossbite. It may also be combined with other removable appliances in ordre to accomplish multiple movements. It takes 3 or 4 days to adjust to wearing this appliance, but it is comfortable and generally well tolerated.